Ein Forschungsteam der Hochschule Landshut arbeitet gemeinsam mit der Klinik und Poliklinik für Radiologie am LMU Klinikum und dem Münchner Unternehmen deepc GmbH an einem Projekt, das den Einsatz von KI in der Medizin sicherer und transparenter machen soll. Durch die Entwicklung von AI-Safety-Monitoring wird untersucht, wie KI-Systeme bei der Diagnose von Hirnblutungen in der Notaufnahme so eingesetzt werden können, dass Personal in zeitkritischen Situationen entlastet wird. Das Projekt wird bis Mai 2028 vom Bundesministerium für Wirtschaft und Energie gefördert.
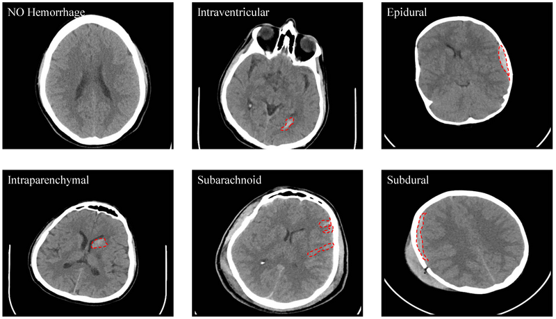
Intrazerebrale Hirnblutungen, also Blutungen innerhalb des Gehirngewebes, treten meist plötzlich auf und äußern sich zum Beispiel durch starke Kopfschmerzen, Lähmungen, Sprachstörungen oder Schwindel. In solchen Situationen zählt jede Minute, da eine schnelle Diagnose entscheidend für die Behandlung und Prognose der Patientinnen und Patienten ist.
Robuste und vertrauenswürdige Modelle nötig
In der klinischen Praxis wird deshalb häufig die Computertomographie (CT) eingesetzt, da sie schnell verfügbar ist und Hirnblutungen zuverlässig sichtbar machen kann. Das zeitkritische Umfeld der Notaufnahme erfordert effiziente Abläufe, klare Priorisierung sowie eine enge Zusammenarbeit im Behandlungsteam. Verfahren des maschinellen Lernens können Ärztinnen und Ärzte bei der Befundung unterstützen - vorausgesetzt, die eingesetzten Modelle sind nicht nur leistungsfähig, sondern auch robust und vertrauenswürdig.
Eine zentrale Herausforderung beim Einsatz von KI-Systemen in der medizinischen Bildgebung sind sogenannte Domain Shifts. Darunter versteht man Abweichungen zwischen den Daten, auf denen Algorithmen trainiert wurden, und den realen Daten aus dem klinischen Alltag.
Abweichungen zwischen Trainingsdaten und Realität frühzeitig erkennen
Solche Unterschiede können beispielsweise durch verschiedene CT-Geräte oder Untersuchungsprotokolle entstehen. Auch Unterschiede in den Patientengruppen oder Bildartefakte infolge von Bewegung oder Fremdmaterial können die Zuverlässigkeit und Leistungsfähigkeit von KI-Modellen beeinflussen. Genau hier setzt das Projekt AI-Safety-Monitoring an. Ziel ist es, Domain Shifts frühzeitig zu erkennen, um Transparenz sowie Vertrauenswürdigkeit von KI-Modellen in der medizinischen Bildgebung nachhaltig zu erhöhen.
Dafür arbeiten Prof. Dr. Stefanie Remmele, Prof. Dr. Eduard Kromer und Tobias Ziegler aus dem Forschungsschwerpunkt Medizintechnik der Hochschule Landshut mit der Klinik und Poliklinik für Radiologie am LMU Klinikum (Prof. Dr. Clemens Cyran, Prof. Dr. Michael Ingrisch, Dr. Boj Hoppe und Maria Steinberger) sowie dem Münchner Unternehmen deepc GmbH (Julia Moosbauer, Margarete Martinez, Natascha Lohmeyer) zusammen. Die entwickelte Lösung soll anschließend in der Klinik und Poliklinik für Radiologie am LMU Klinikum erprobt und evaluiert werden.
Die Projektlaufzeit endet am 31. Mai 2028. Das Projekt wird vom Bundesministerium für Wirtschaft und Energie aufgrund eines Beschlusses des Deutschen Bundestages im Rahmen des Zentralen Innovationsprogramms Mittelstand gefördert.
Foto: Hochschule Landshut
(Frei zur Verwendung bei Angabe der Quelle)
Bildunterschrift: Das AI-Safety-Monitoring Team (v. r. n. l.): Margarete Martinez, deepc GmbH; Natascha Lohmeyer, deepc GmbH; Tobias Ziegler, Hochschule Landshut; Michael Ingrisch, Klinik und Poliklinik für Radiologie am LMU Klinikum; Eduard Kromer, Hochschule Landshut; Stefanie Remmele, Hochschule Landshut
Abbildung: Hssayeni, Murtadha D., Muayad S. Croock, Aymen D. Salman, Hassan Falah Al-khafaji, Zakaria A. Yahya, and Behnaz Ghoraani. 2020. "Intracranial Hemorrhage Segmentation Using a Deep Convolutional Model" Data 5, no. 1: 14. https://doi.org/10.3390/data5010014
Abbildungsunterschrift: CT-Bilder des Kopfes: KI-Systeme können bei der schnellen Diagnose von Hirnblutungen anhand solcher Bilder unterstützen.



